保険外診療

※実例の数字をクリックしますと症例のブログにジャンプします

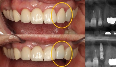
セラミック

 

オールセラミック99000円~


ジルコニア

 

ジルコニア 症例    99000円


ジルコニアセラミック

 

150000円

金属の入れ歯

 

金属の種類 

 

コバルトクロム350000円

チタン 400000円

インプラントを利用して外れにくくしっかりとした入れ歯


裏が柔らかいシリコンの入れ歯

 

樹脂とシリコンタイプ 330000円税込み

金属床とシリコン   440000円税込み

 

 

裏側に柔らかいシリコンのゴムが貼ってあり噛んだ時の痛みを和らげます

 


柔らかい見えにくい入れ歯

 

 

バルプラスト200000円~385000円

症例 


インプラント

 

歯の無い場所の骨に人口の歯を入れます
状態により各種メーカーを使用します
アストラ ストローマン マルチナ
手術,被せ物込み350000円~410000円税込
CT撮影検査料及びシュミレーション料込

使用される被せ物もジルコニアやセラミックに関わらず当院は全て料金に含まれています

インプラントに必要な小矯正100000円~税込



小矯正を利用したインプラント

 

矯正治療を利用して骨がない場所に骨を作ったり歯を移動してインプラントを可能にします。

 

 

矯正250000円~

インプラント別途350000円~


ソケットプリザベーション

 

歯を抜いた後の穴の中に後のインプラントを行うために骨を保存する治療

 

インプラントを行う想定のみで行っています

使用する材料代のみ

骨補填剤22000円

メンブレン22000円

※必要数によって料金がかわります

詳細はこちらの症例へ

 


ソケットリフト

 

奥歯の骨が少ない場所に上顎洞の底を押し上げて埋入するインプラント

 

 

準備中

 

 

 

 


抜歯即時インプラント

歯を抜いたその日、もしくは近日中にインプラントを埋入します

元々歯の入っていた穴が歯肉や骨に開いていますので歯肉を開いたりせず侵襲が少ないため腫れや痛みも出にくく手術も短時間で終わります

 

通常のインプラント費用と変わりはありません

骨の状態により使用するインプラントメーカーが変わり

骨補填材22000円

メンブレン22000円

 

※必要数によって料金がかわります

症例準備中

お口の見た目などに関わる治療

 

 

歯茎のピーリング ブログ1

その他 白い被せ物など

 

ホワイトニング

 

    オフィスホワイトニング(医院) 

           38500円

 

       ホームホワイトニング

        ブログに症例あります

         片顎16500円~

         上下33000円~共に税込

       ホワイトニング関連記事

 

        既成マウスピースによる

         ホームホワイトニング

         上下16500円税込み


スポーツマウスガード

 

 各種8800円~
釣り用マウスガード  各種8800円~
自動二輪 自転車 その他多くのスポーツ
にも対応します

子供用マウスガード3300円
※詳細はお問い合わせください

 

マウスガードブログ記事

 

磯野歯科医院

千葉県勝浦市墨名565-59

国際武道大学最寄りセブンイレブンより国道297号線に突き当たり信号を左折後30m程

青い看板とレンガの建物が目印

TEL:0470-73-5323

Google マップは現在の Cookie 設定では表示されません。「コンテンツを見る」を選択し、Google マップの Cookie 設定に同意すると閲覧できます。詳細は Google マップの[プライバシーポリシー]をご確認ください。Cookie の利用は、[Cookie 設定]からいつでも変更できます。