歯茎の黒ずみを表面を一層薬液ではがすことで綺麗なピンク色を取り戻します。
笑った時に歯が白くても歯茎が黒ずんでいると暗いイメージになってしまうこともあります。
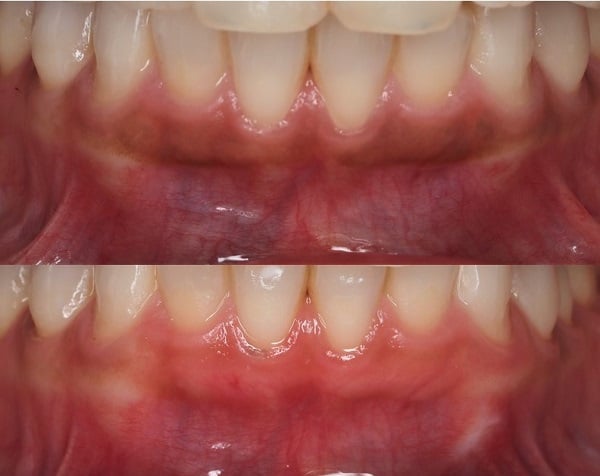
上がピーリング前、下がピーリング後です。
自然で健康的なピンク色になりました。
治療ステップは、薬液を歯茎に塗布
2~3日で歯茎の表面が剥がれる
一週間ほどで綺麗なピンク色になります
デメリット
麻酔を行いますので薬液塗布は痛みはありませんが数日ピリピリする場合もあります。
場合によって途中口内炎になり痛みが出る場合もあります
喫煙される方や色の強い方は一度では色が残ってしまい何度かピーリングする必要があるケースもあります。
痛みが出た場合には痛み止めを処方する場合もあります。
費用は上下で一回に付き4400円税込みです。
問い合わせは磯野歯科医院へ
0470-73-5323
