今日は保険外で作ることのできる入れ歯をご紹介いたします。
こちらは、ナイロンで出来ている義歯で外から見える面には金属を殆ど使いません。
半透明のピンク色のナイロン樹脂は柔軟でしなることが出来ます。
その特徴を利用して残っている歯や歯茎の形の凹凸などを利用してはまり込みます。
非常に割れにくく装着時の見た目にも影響しにくいです。
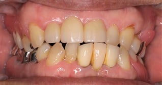
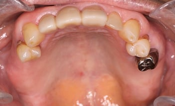
装着をしていない状態の写真です。奥歯に歯がありません。
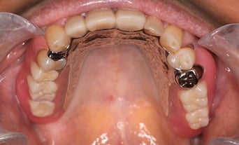
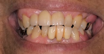
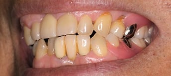
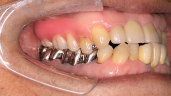
以下装着後の状態と装着している義歯の画像です。
今回装着中の義歯です。見えない範囲に金属を使用することでナイロン素材のメリットでもデメリットでもあるしなりを必要な場所以外を最小にすることが出来ます。
それにより義歯全体のたわみが減ります。
今回の治療回数は4回
期間は一月半
費用は
※2024年一月より料金が変わりました
義歯の大きさや使用する金属の種類や大きさや形で金額は異なります。
こちらの義歯の特徴
メリット
一般的な義歯に比較して
金属のバネがないため見た目が分かりにくい
義歯が外れにくいようにひかかる部位が多く金属のばねより外れにくい場合がある
割れることがほとんどない
修理で範囲を増やすことが何度でも出来新しく作りなす必要がほとんどない
デメリット
費用が保険の義歯に比べ高額
修理がその場で出来ずにお預かりになる
洗浄や手入れにこすり洗いをすると傷がつく
お茶やタバコなど着色をする
フレームに金属が少ないとたわみすぎてしまう
当院では様々な大きさや金属との組み合わせで製作を行っています
費用は
※2024年一月より料金が変わりました税込み200000円~350000円
※治療例は義歯のみの治療期間でありほかに残っている歯の治療が必要であれば期間は変わります。
※治療費はお口の状態や無い歯の場所や本数で異なります。
お問い合わせは
磯野歯科医院
0470-73-5323まで
