以前にご紹介ししましたブラケット矯正。
多くの歯並びに対応が可能で非常に良いものです。
しかし見た目を気にされる場合にはどうしてもマウスピース矯正に軍配が挙がってしまいます。
ところがマウスピース矯正では対応の出来ないお口の状態もあります。
その様な時にはブラケットを裏側に付ける矯正方法があります。
※裏側のブラケットも万能ではなく状況によっては適さない場合もあります
メリット
表から矯正装置が見えず見た目がよい
その他は通常のブラケット矯正とメリットは大差なし
デメリット
内側に装置が出っ張るために舌にあたり痛みが出る場合もある
発音がしにくい場合がある
歯ブラシなど清掃がやや難しくなる
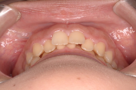
治療前



装置装着(今回は下は表側)



治療後


※2024年一月より料金が変わりました
今回はハーフリンガル矯正(上裏側下表側)1350000円税込
治療期間は個々の状態にもよりますが二年前後。
フルリンガル(上下裏側)は1550000円税込なります。
装置長調整毎に調整料金4400円がかかります。
治療終了後には歯の位置を維持するために保定のマウスピースを付ける必要があります。
※矯正治療によって一般的に起きる可能性のあるリスクや副作用
1矯正装置の不快感が出る場合があります。通常数日から1週間ほどで収まります
2歯の移動の速度は個人差などもあり治療予測期間が延びることもあります
3治療器具の種類によっては患者さん自身の協力が不可欠であり協力状況により治療効果や期間に変化
が生じます
4個人個人の状況により歯根が短くなったり歯肉が下がる可能性があります
5矯正治療に限りませんが金属や材料にアレルギーをごくまれに起こされる可能性があります
6治療に必要な場合ご相談の上歯の形や噛み合わせの微調整が必要になる可能性があります
7治療中の噛み合わせ等の変化により顎関節に症状が出る可能性があります
8矯正治療終了後に適切な保定を行わない場合には後戻りを起こす可能性があります
9矯正治療を開始すると元の状況には戻せない可能性があります
10装置の種類によっては歯ブラシがしにくくなります
11歯や骨の状況、矯正装置の使用状況などにより必ずしもご本人のご希望のお口や顔貌が結果的に
得られるとは限りません
上記は必ず起こるという訳ではなく起こる可能性があるという事です。
全ての治療には必ずメリットデメリット、リスクが存在します。それらを知ったうえでご自身のベネフィットが上回ると考えた時に治療をご選択ください。
お問い合わせは磯野歯科医院 0470-73-5323